
Caroline Dallaire-Théroux
La maladie d’Alzheimer : À la recherche d’un outil de dépistage précoce
Alzheimer. Un mot qui inquiète, qui effraie. Nous connaissons tous une personne, de près ou de loin, qui est atteinte de cette maladie dégénérative aux conséquences dévastatrices. Elle engendre, en effet, de nombreux soucis économiques et sociaux pour les patients, les proches aidants et pour l’ensemble de la société.
Étant donné la difficulté à détecter les premiers symptômes cliniques au tout début de la maladie, le diagnostic ne tombe souvent qu’à un stade avancé. Les dommages irréversibles au cerveau sont alors considérables et s’accumulent déjà depuis plusieurs années. Les traitements connus à ce jour offrent la possibilité de ralentir la progression de la maladie, sans toutefois pouvoir la guérir ou même l’interrompre. De plus, la confirmation du diagnostic ne peut s’effectuer qu’au moment de l’autopsie, donc après le décès du patient.
De nouveaux outils s’avèrent nécessaires afin de déterminer les individus à risque de développer la maladie, ce qui permettrait d’agir plus rapidement et de minimiser ses impacts. L’un d’eux retient présentement l’attention de plusieurs chercheurs dans le domaine des neurosciences : l’imagerie par résonance magnétique (IRM).
Quand la physique s’en mêle
L’IRM est une technique d’imagerie médicale sans effet néfaste pour la santé et elle présente très peu de contre-indications. Elle fait appel à un champ magnétique et à des ondes radio pour produire un signal électromagnétique en fonction de la composition des tissus du corps. Ce signal permet ensuite de reconstruire une image très précise en trois dimensions avec un contraste très marqué entre les divers tissus, ce qui rend cette modalité d’imagerie très polyvalente, particulièrement en neurologie. Dans le cadre de ce projet, nous nous concentrons sur la capacité de l’IRM à détecter les changements causés par les multiples lésions pathologiques de la maladie d’Alzheimer dans le cerveau.
Comment voir avant qu’il ne soit trop tard
Notre objectif était de rassembler les différentes études scientifiques comparant l’IRM in vivo, c’est-à-dire avant le décès, et les résultats d’autopsie de personnes âgées avec et sans maladie d’Alzheimer, dans le but de définir les changements propres à la maladie. Pour ce faire, nous avons utilisé le moteur de recherche PubMed en recourant à des mots-clés définis préalablement, tels que « maladie d’Alzheimer », « IRM volumétrique », « neuro-imagerie structurelle », « neuropathologie » et « autopsie ». Les 24 articles sélectionnés présentaient des études de corrélation entre les résultats des examens radiologiques et pathologiques chez des individus de 59 ans et plus. Les images étaient toutes acquises avec des appareils de résonance magnétique tels qu’on peut les trouver dans nos hôpitaux. Les différentes populations provenaient des États-Unis, du Canada, du Royaume-Uni, de l’Autriche, des Pays-Bas ainsi que du Japon.
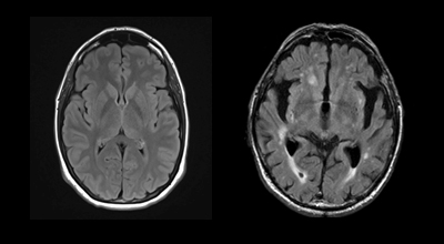
Ce que les images révèlent
Les deux changements dégénératifs les mieux définis par les travaux sur la maladie d’Alzheimer sont les plaques séniles et les enchevêtrements neurofibrillaires. Ces lésions sont causées par des dépôts anormaux de protéines dans le cerveau, soit la bêta-amyloïde et la protéine tau. L’accumulation de ces deux lésions caractéristiques entraîne progressivement une perte dans le volume du cerveau. L’atrophie cérébrale visible à l’IRM (Figure 1) est particulièrement marquée dans les hippocampes, structures jouant un rôle majeur dans la mémoire. On remarque également un élargissement des ventricules, c’est-à-dire des cavités contenant le liquide céphalo-rachidien dans lequel baigne le cerveau à des fins de protection. Les enchevêtrements neurofibrillaires seraient les principaux responsables de ces détériorations.

Par la suite, des lésions variées des vaisseaux sanguins s’ajoutent au tableau. Elles sont causées par la maladie d’Alzheimer, mais également par divers facteurs de risque tels que l’obésité, le tabagisme, l’hypertension artérielle et le diabète. Ces lésions peuvent être visualisées à l’IRM sous forme d’hyperintensités de la matière blanche. En d’autres mots, la radiologie permet de détecter des zones « trop blanches » aux endroits affectés par des anomalies vasculaires, des infarctus et des saignements. Les lacunes sont de petits trous noirs qui peuvent aussi être aperçues sur les images des patients qui présentent des infarctus des artères plus profondes du cerveau.
D’autres changements, pouvant contribuer aux pertes de fonctions cognitives, sont observés dans le cerveau des personnes atteintes de la maladie d’Alzheimer. Par exemple, on trouve fréquemment des dépôts de protéine bêta-amyloïde dans la paroi des vaisseaux sanguins. C’est ce qu’on appelle l’angiopathie amyloïde. La sclérose hippocampique, un type de dégénérescence de l’hippocampe, peut aussi coexister avec la maladie d’Alzheimer. Ces deux pathologies entraînent toutes deux une diminution supplémentaire du volume cérébral.
En bref…
La maladie d’Alzheimer est la cause de démence la plus fréquente et son incidence augmente considérablement avec l’âge. Malheureusement, le vieillissement de la population entrainera inévitablement une hausse importante du nombre de personnes atteintes. Comme il est difficile pour le médecin de détecter les premiers signes cliniques de la maladie et que le diagnostic ne peut être établi avec certitude qu’après un examen minutieux par le pathologiste à l’autopsie, de nouvelles techniques d’investigation devront être instaurées. L’imagerie par résonance magnétique serait un outil de dépistage à envisager puisqu’il permet de visualiser les changements cérébraux associés à la maladie d’Alzheimer et à ses nombreuses comorbidités (Figure 2) de manière sécuritaire, assurant ainsi un traitement précoce et un meilleur suivi médical.
